pwd Cosmetic Dental Procedures | Smile Gallery | The Wobbly Tooth Dental Practice

Smile
Gallery

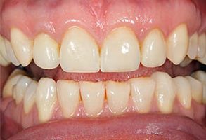
The image shows a close-up view of a person s teeth with yellow stains, which suggests poor oral hygiene.

Before

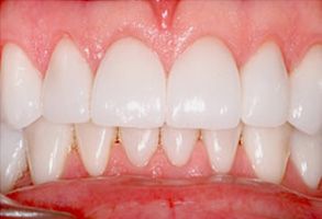
The image shows a close-up of a person s smiling face with straight white teeth.

Before

After

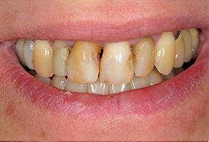
The image shows a close-up of a person s teeth with yellow staining and some tooth decay visible.

Before

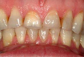
The image shows a close-up of a person s mouth with teeth that appear to be discolored or stained, possibly due to smoking or poor oral hygiene, set against a neutral background.

Before

After

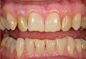
The image displays a close-up of a person s face with a focus on their teeth and lips, which are slightly parted revealing a smile.

Before

The image shows a close-up of a person s face with a large smile revealing white teeth, and the individual appears to be wearing lipstick.

Before

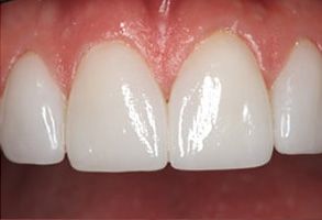
After

Dental patient with open mouth showing upper teeth and gumline.

Before

The image shows a close-up view of a person s teeth with a focus on a large gap between two front teeth, emphasizing dental imperfections.

Before

After

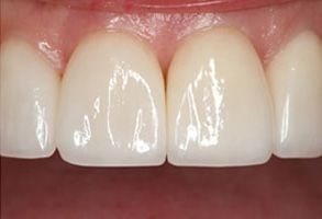
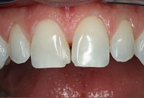
The image shows a close-up view of a person s mouth with teeth that have been professionally whitened, indicating dental treatment for cosmetic purposes.

Before

The image shows a close-up view of a person s teeth with an enlarged smile, highlighting the dental work including fillings and possibly veneers, against a blurred background that appears to be a medical setting.

Before

After

The image displays a close-up view of a person s teeth with a focus on a large, discolored tooth.

Before

The image shows a close-up of a person s teeth with a focus on a large gap between the front teeth, which are white and appear to be well-maintained, while the back teeth are visible and also appear clean and healthy.

Before

After

The image shows a person s teeth with dental implants and a visible gap between two front teeth, which appear to be missing.

Before

The image shows a close-up view of a person s teeth with a focus on a large gap between the upper front teeth, which appear to be white, and the lower teeth, which are discolored and have yellow stains.

Before

After